永久歯になる前が勝負 汐入で叶える「後悔しない」小児矯正の新常識
「わが子の歯並びが悪いのはどうしてですか??」
みなさんはこの質問に対する答えを聞いたことがありますか?
「遺伝だから」とか、「様子を見ましょう」とよく耳にしてきました。
ではなぜ虫歯はなぜできるのか?→「砂糖」
親御さんは虫歯になる原因を知っているからわが子に虫歯ができなうように行動しました。
その結果は、、、、
虫歯予防は成功しました。12歳児のお子さんのお口の中に永久歯の虫歯は0.6本です。
歯並び悪くなる原因は?→○○○○
じつは砂糖と同じくらい明快な答えが実はあるんです。
原因を改善すれば歯並びは良くなっていきます。
ただし、遅くとも9歳の夏休みまでに治療をスタートする必要があります。
以上を踏まえてぜひ最後までご覧ください。
- 「遺伝だから…」と諦めていませんか?
「私もお父さんも歯並びが悪いから、うちの子の歯並び、遺伝だから仕方ない…。」
そう思って、気になりつつも様子を見ていませんか?
実は、歯並びは遺伝では決まるわけではありません。
江戸時代は今から200年~400年前になりますが、当時歯並びが悪い人はほとんどいませんでした。
S
遺伝子が変化するには数千年から数万年かかるといわれています。もし歯並びが遺伝するのであれば現代人はみんな歯並びが良いはずですね。逆説的のようですが事実です。
歯並び悪くなる原因は?→○○○○○
の答えを説明していきます。
お子さんの成長期における次の2点が○○○○○になります。
- 呼吸の仕方→口呼吸か鼻呼吸か
- 嚥下の仕方→舌や唇や咬筋を正しく使えているか?間違った表情筋の使い方をしていないか?
鼻呼吸をすることによって脳に適切に酸素が供給されて脳が成長します。(脳のボリュームアップ)その結果として上顎骨も大きくなっていく。つまり、脳と上顎骨には主従関係があるのです。

また、嚥下の仕方が悪いと図のように顎の骨は間違った方向に成長し、歯並びだけでなくお顔つきにも影響が出ます。

永久歯が生えそろう12歳頃までは、顎と脳が同時に急成長する「ゴールデンタイム」。
この時期に正しい介入を行うことで、永久歯がすべて生えそろった時にきれいな歯並びに完成させるのがマイオブレース小児です。
他の矯正治療と大きく違うのは中学生になってから行う2期治療がいらないこと。
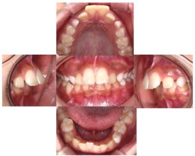
2年6か月後→ 
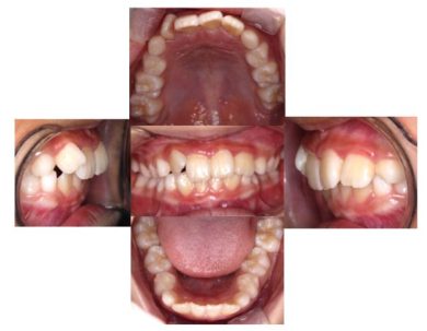
8歳6か月(お母さん:娘の出っ歯と前歯の凸凹を治してあげたい)11歳2か月
中学生になったら矯正治療からすべて解放されて、お子さんがやりたい部活動やスポーツを制限なくできるのは大きなメリットになります。
横須賀・汐入駅前歯科 小児歯科・矯正歯科では、この限られた時間を逃さないため、根本原因から改善する世界100か国で国際特許取得済の「マイオブレース小児矯正」を導入。
単に歯を並べるのではなく、お子さんの呼吸・姿勢・全身の健康まで考えた総合的なアプローチを行っています。
- 永久歯前が「勝負」な理由
2-1. 上顎骨の成長は一度きり待ったなし、12歳まで。
歯並びの運命を握るのは上顎骨(じょうがくこつ)。
この骨は顔の中央に位置し、鼻や目、頭蓋骨とつながる重要な構造で、12歳頃までにほぼ成長が完了します。
上顎骨の成長は「神経型」と呼ばれるパターンで、脳とほぼ同じ時期に発育がピークを迎えます。
男子は11歳、女子は12歳前後でほぼ完成し、それ以降は顎の形を大きく変えることは難しくなります。
2-2. 成長期を逃すと起こること
この時期に顎が十分に成長しないと、歯が並ぶスペースが不足します。
健康的本来の顎の大きさを100%とすればその大きさになれずに成長が終わります。
その結果として…

- 歯を抜く必要が出る
- 治療期間が長期化
- 成人矯正の費用が高額化
- 顎関節症や咬合不全のリスク増加
- 歯を抜いて並べるのでお口の中が狭くなる→舌が後方に下がり睡眠時呼吸障害の一因になる
2-3. 上顎骨の成長と全身の関係
上顎骨は鼻腔を形成する骨でもあり、その発育は呼吸機能と密接に関係します。
上顎が狭いと気道が十分に成長せず、口呼吸を含む呼吸器系の疾患になるリスクが高まります。
口呼吸は脳への酸素供給を減らし、集中力や記憶力の低下、発達リスクの増加にもつながります。
- 歯並び悪化の「隠れた犯人」
3-1. 口呼吸(お口ぽかん)
- 日本の子どもの約8割に口呼吸傾向
- お口ぽかんは約31%、唇が1mm開いているだけでも「隠れ口呼吸」
- 鼻呼吸に比べて脳への酸素供給が最大40%減少
主な悪影響
- 顎の成長不足(上顎狭窄)
- 出っ歯・八重歯などの歯列不正
- 睡眠の質低下→成長ホルモン分泌減少
- 集中力・学習効率の低下
- 感染症・アレルギーリスク増加
- 姿勢悪化(猫背)
3-2. その他の口腔習癖
- 指しゃぶり・おしゃぶりの長期使用
→ 出っ歯・開咬・口呼吸習慣化 - 不良嚥下(ふりょうえんげ)
→ 奥歯を咬まない嚥下、舌が上あごにつかない嚥下(歯を押す癖が1日2000回、
歯列を押し込み顎成長阻害)
3-3. 食習慣の影響
- 柔らかい食事ばかりで咬筋が育たない→顎が成長しない
- 片側だけで噛む癖→かみ合わせが悪くなる
- 猫背での食事→咬む力が出ない、咬筋が育たない→顎が成長しない
これらはすべて、顎の発育に悪影響を与えます。
- 当院の「マイオブレース」小児矯正——根本原因から整える
4-1. マイオブレースとは? Straight Teeth Without Braces | Myobrace
マイオブレースは、オーストラリアで開発された世界100か国で国際特許取得済の機能的マウスピース型矯正システムで、歯並びを悪化させる根本原因(口呼吸・舌の低位・不良嚥下など)を改善します。
従来のワイヤー矯正のように歯を強制的に動かすのではなく、顎の健全な成長と正しい口腔機能の習得を目指します。



マウスピース、バイオブロック(拡大装置)、BWSワイヤー(子供の用ワイヤー)は子供に寄り添ったものなので、痛みはほとんどありません。また、バイオブロックやBWSワイヤーはそれぞれ約4か月間の使用に限られ(症例によっては伸びる場合もあります)ること、お友達には見えないことなどお子さんの心理的な負担を考慮した設計になっています。
また、これらは単に歯を動かすのではなく、顎を健全な大きさにするための機能的矯正装置なので一般的なワイヤー矯正のような強い歯の痛みはほとんどありません。
お子さんの顎の骨の成長を利用するとともに歯並びを悪くしているお口周りの筋肉の悪い癖を取り除いていくため早い改善が期待できます。
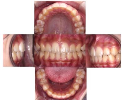
治療開始から10か月→
この男の子は10か月間でここまで改善しました。まだまだ、改善途中ですがお子さんの成長を利用すると短期間で改善が期待できます。この子が10か月間やってきたことは?
- 起きているときに1時間マイオブレイスをお口にいれる(テレビを見ながら)、寝るとき入れる。
- 1日5分間動画を見ながら口周りの悪い癖を取るトレーニングをすることだけです。
それによって顎の骨の成長方向と成長量を改善できた結果、歯並びもここまで改善しました。
4-2. 特徴とメリット
- 日中1時間+就寝時の装着でOK
- 痛みや違和感が少ない
- 抜歯や顎の手術の回避率が高い
- 鼻呼吸・舌の位置・嚥下法を改善
- 顎顔面の自然な発育を促進
- 集中力・睡眠の質・姿勢の改善も期待
4-3. 科学的根拠
- 筋機能療法(MFT)の理論に基づく
- 口腔周囲筋と舌筋を鍛え、自然な歯列誘導を行う
- 国際的な小児矯正学会でも採用例が増加中
- 早期介入(5〜7歳)で大人矯正不要の確率が大幅上昇
- 治療の流れ
1,無料初診カウンセリング
保護者から主訴、詳しい成育歴、耳鼻科疾患歴(鼻アレルギー、中耳炎の既往など)などをヒアリング
2,精密検査
・レントゲン検査(無料相談で撮影していない場合)
・口腔内写真検査
3,マイオブレース装着&MFT(筋機能トレーニング)開始
かみ合わせの状態、年齢によってマイオブレイスの種類、サイズを決定日常生活に組み込みやすい時間帯を設定アクティビティ動画視聴のためのアカウント作成(スマートフォン、iPad、PCで視聴可能)
4,定期チェック(1〜3ヶ月ごと)
鼻呼吸・嚥下・舌位の改善、咬筋の改善、嚥下の改善度を評価
5,月2回のZoomトレーニング
自宅での習慣化をサポート
6 ,治療完了・保定管理
再発予防と定期観察
6.一般的な費用と比較
| 項目 | マイオブレース | インビザライン・ファースト | ワイヤー矯正 |
| 費用 | 50~60万円 | 90〜110万円(2期治療含む) | 80〜100万円 |
| 装着時間 | 日中1h+就寝時 | 20時間以上装着 | 常時 |
| 痛み | ほぼない | 少ない | 強い |
| 抜歯リスク | 低い | 場合によりあり | 高い傾向 |
| 適齢期 | 5〜12歳 | 6〜10歳+2期治療 | 12歳~ |
-
保護者Q&A(20問)
Q1. マイオブレースは痛いですか?
A. 装着初期に軽い違和感がありますが、ワイヤー矯正のような痛みはありません。
Q2. 学校でも装着しますか?
A. マウスピースの装着は就寝時と日中1時間のみ。学校で装着する必要はありません。
Q3. 装置は洗えますか?
A. はい。中性洗剤で洗浄します。
Q4. 治療期間は?
A. 平均3〜4年です。開始年齢が早いほど短くなる傾向があります。
Q5. 費用は?
A. 当医の場合、初期費用は484000円(税込)です。(2025年11月1日現在)
分割払い、デンタルローンも可能です。※別途、筋機能トレーニングおよびシステム使用料が月額4400円(税込)かかります。
Q6. 兄弟割引はありますか?
A. 筋機能トレーニング費用、システム使用料が半額になります。
Q7. 治療の効果はどれくらい続きますか?
A. 習慣が定着し、正しい筋機能が得られると後戻りは少ないです。
Q8. 途中でやめたらどうなりますか?
A. 習慣が未定着だとあと戻りする可能性があります。
Q9. 鼻づまりがある場合は?
A. 鼻詰まりがあるお子さん用のマウスピースと使ったり、耳鼻科と連携して改善を図ります。
Q10. 他の習い事と両立できますか?
A. はい。日中の装着時間は1時間程度です。マウスピースの装着は毎日必ずすること、例えば「お風呂に入るとき」、「テレビを見るとき」、「学校の宿題をする時」、「塾の予習、復習の時」、「ゲームをするとき」、「ユーチューブ動画を見る時」などなど毎日することと組み合わせて装着しているお子さんが多いようです。
Q11. 装置はどのくらいで交換しますか?
A. 成長段階や摩耗状況により6〜12ヶ月ごとに交換します。
Q12. 保護者のサポートはどれくらい必要?
A. 最初の数ヶ月は毎日確認と声かけが重要です。
Q13. 歯磨きはどうすれば?
A. 装着前後に必ず歯磨きを行い、虫歯リスクを減らします。
Q14. 永久歯が生え始めていても大丈夫?
A. はい。生え変わり期も対応可能です。
Q15. 装置の色は選べますか?
A. 標準は透明ですが、場合により選択可能です。
Q16. 保険は使えますか?
A. 矯正は自費ですが、機能発達不全症の検査は保険適用です。
Q17. 治療中に引っ越す場合は?
A. 他院への引き継ぎも可能です。
Q18. 顎関節症予防にもなりますか?
A. 正しい咬合と正しい嚥下、正しい舌位は予防につながります。
7.失敗例と原因
よくある失敗パターン
- 装着時間不足(1日1時間の装着と就寝時の装着が必要)
- アクティビティをやらない(1日5分間のトレーニングの継続)
- 鼻呼吸への移行ができない
- 成長期を逃した開始時期の遅れ
8.食習慣の改善
- 硬めの野菜や果物を噛む
- 左右均等に噛む習慣
- 姿勢を正して食事(椅子と机の高さ調整)
- 食事中に水、お茶、ジュースを控える。→咀嚼回数の大幅減少、奥歯を咬まない嚥下になってしまう。(味噌汁、スープOK)
9まとめ 後悔しない未来のために
永久歯が生えそろう前の限られた数年間は、二度と戻らない大切な時間です。
この時期に正しい介入を行うことで、歯並びだけでなく、呼吸・脳の成長・姿勢・集中力・将来の健康まで変わります。
当院が選ばれる理由
- 横須賀市唯一のマイオブレース認定医療機関による治療
- 年間新規100症例以上の実績
- 小児矯正1999年から実施の安定した経験
- 小児矯正に習熟した歯科医師、スタッフの対応
📍 横須賀・汐入駅前歯科
「うちの子の歯並び、このままで大丈夫かな…」と思ったら、今すぐご相談ください。
お子さんの成長を改善しながらどのように歯並びが改善されていくのか、専門スタッフが丁寧にカウンセリングし、ご説明いたします。
後悔しない未来は、“今”の行動から始まります。
【監修者紹介】
山口 和巳(やまぐち かずみ)

はじめまして。汐入駅前歯科 総院長の山口和巳です。
私が歯科医師を志したのは、中学3年生のときに父を病気で亡くしたことが大きなきっかけでした。母が一人で私を懸命に育ててくれたことへの感謝とともに、家族を失う悲しみや医療の大切さを強く感じ、この道を目指しました。母の負担を少しでも軽くしたいという思いから、国立の新潟大学歯学部へ進学し、国民の皆様の税金に支えられながら学ばせていただきました。
今こうして歯科医師として働けているのは、学生時代から多くの方々に支えていただいたおかげです。だからこそ、その恩を地域の皆様に少しでもお返ししたいという思いを胸に、日々診療に取り組んでいます。
私のポリシーは「できる限り多くの方に質の高い歯科医療を提供すること」。経営面では決して器用ではありませんが、目の前の患者様に対して損得を一切考えず、「ここに来てよかった」と思っていただける治療を常に心がけています。
私が理想とする医師像は、映画『パッチ・アダムス』に登場する医師のように、人として温かく、誠実に寄り添える存在です。その姿に少しでも近づけるよう、今もさまざまな勉強会やセミナーに参加し、最新の技術を学び続けています。
これからも一人でも多くの方の健康を支えられるよう、技術を磨き、人間としても成長を重ねてまいります。どうぞよろしくお願いいたします。
略歴:
- 1991年 新潟大学歯学部卒業
- 1998年 ストローマンインプラント認定医
- 1999年 汐入駅前歯科 開院
- 2000年 ブローネンマルクインプラント認定医
- 2004年 ハーバード大学インプラント科研修
- 2006年 パナソニックデンタルレーザーインストラクター
- 2007年 ITIメンバー認定(インプラント学術団体)
- 2007年 マロクリニック(ポルトガル、リスボン)All-on-4研修
- 2010年 アンキロスインプラント認定医
- 2010年 厚生労働省認定指導医
- 2014年 Smile10デンタルクリニック 開院
【姉妹院のご案内】
Smile10デンタルクリニック
センター北駅徒歩1分、Smile10デンタルクリニック。
駐車場無料チケットありで車でも安心。
ホワイトニング・小児矯正・インプラントもお気軽にご相談ください。
📍住所:〒224-0003 横浜市都筑区中川中央1-1-5 YOTSUBAKO 6階
📞TEL:045-530-0824
まとめ
小児矯正の本質は、単に歯を並べることではなく、顎や脳が活発に成長する「ゴールデンタイム」に呼吸や舌、嚥下など口腔機能の問題を改善し、お子様本来の健やかな成長を守ることです。
マイオブレイス小児矯正はその根本から改善を図る治療。親御様のご協力は不可欠ですが、その分、お子様が将来健康で豊かな生活を送るための大切な基盤となります。
少しでも口呼吸や歯並び、顎の発育が気になったら「まだ早い」と思わず、ぜひ一度汐入駅前歯科にご相談ください。丁寧なカウンセリングで最適なプランをご提案いたします。
汐入駅前歯科
住所: 〒238-0041 神奈川県横須賀市本町3丁目27 ベイスクエアよこすか一番館2F
診療時間: 月〜金 9:00〜12:00 / 13:30〜18:00
土日 9:00〜12:00 / 13:30〜17:00
休診日: 祝日、その他特定日(全社研修日、ゴールデンウイーク、夏季休暇、年末年始休暇)
🦷 汐入駅前歯科では、小児矯正の無料相談受付中!
📍京急「汐入駅」から徒歩1分
🅿️ 専用駐車場完備
🕒 平日19時まで/土曜も診療対応
「最近、口がぽかんと開いてるかも…」
「歯が重なってきた気がする」
そんなちょっとした変化が、将来の大きなカギを握っています。
お子さまの健康と笑顔を守るために、まずはお気軽にご相談ください!